Early Scans

Ultrasound Best can perform Early Pregnancy "Reassurance" Scans
any time after you have registered your pregnancy with your GP or midwife and you are in NHS ante-natal care.

Early Scan Only£65.00

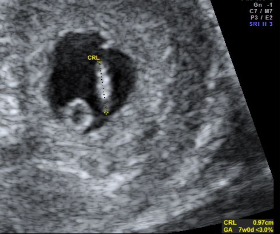
At the early stage - 6-13 weeks - it is possible via the ultrasound to:

see if the foetus is in the right position give a more accurate dating (than the pregnancy test/calculator)
identify if it’s a single baby or twins detect a heartbeat
ascertain if the pregnancy looks “safe” prepare a detailed report of findings to take away

During the scan you will be able to see the pictures of the tiny foetus on the big screen. The sonographer will show you as much as possible and capture a number of images. You will be offered two souvenir photos from the scan and the rest will be on a USB.

Appointment Duration 30 Minutes
Ultrasound Scan Duration 6-10 Minutes
Photographs 2
Findings Report 1
Who's Coming? Mum-to-Be and usually up to 4 family and friends.
During Coronavirus measures only one extra person can accompany mum.

A deposit of 10.00 is required at the time of booking and the balance is to be paid by card or cash in person on arrival.


When booking, the service user must state what the gestation of the pregnancy will be on the day of the appointment.
Patients may wish to use the following NHS website: https://www.nhs.uk/pregnancy/finding-out/due-date-calculator/

Ultrasound Best will take the information provided by the patient at face value and in good faith.

If it transpires during the examination that the pregnancy is not at the stage advised by the patient but that she is in fact presenting at a gestation under 7 weeks, the Company may not be able to provide the full service nor to determine the status of the pregnancy.

Ultrasound Best will not offer a free re-scan for patients who present earlier than the minimum of 7 weeks.

The quality of the visual result of the scan is dependent on the stage of pregnancy, the size and position of the baby, the volume of amniotic fluid and the amount of tissue (skin, muscle, etc) between the ultrasound probe and the foetus in the womb. A good image cannot always be obtained.

For full General Terms and conditions please click here

IMPORTANT

The sonographer will carry out the scan using a technique appropriate to your declared/estimated stage of pregnancy and the factors listed above. In the vast majority of cases a perfectly satisfactory result can be obtained using a familiar trans-abdominal (tummy) scan but scans performed in the regular way may be less clear than those achieved using a more intimate procedure.

In some cases it may be necessary technically to perform the scan with an internal/trans-vaginal probe. This consideration will be stated on the on-line Consent Form that you will click to accept before booking your appointment.

The sonographer will always begin her examination with a trans-abdominal technique and advise what is possible. Of course, there is absolutely no obligation but service users must understand when booking an Early Scan that because the foetus is still very small - especially at 7-9 weeks – an intimate procedure may be necessary. If visitors cannot accept such a condition they should wait until 9 weeks or later before booking or even hold off until the NHS 12-week viability scan.

Because the full service is provided whatever the outcome, no refunds are available for Early Pregnancy Scans.

IMPORTANT: Clients must be aged 18+ by the date of their appointment in order to receive any scan from Ultrasound Best. Photo ID will be required for all scans to verify age. Failure to provide age verification may result in your scan being refused, and the scan fee forfeited.

Click here to book now